INTRODUCTION
Leprosy is a chronic granulomatous neurocutaneous disease caused by Mycobacterium leprae, with a wide spectrum of clinical, histopathological, and immunological characteristics1,2,3,4. Acute or subacute inflammatory episodes, known as leprosy reactions, can occur at any stage of the disease, even in untreated individuals4,5,6. These reactions are not uncommon, affecting up to one-third of patients4,5. They result from abrupt immunological shifts and are classified into type 1 (reversal), type 2 (erythema nodosum leprosum, T2R/ENL), and type 3 (Lucio phenomenon) reactions5,6.
Type 2 leprosy reactions typically feature tender erythematous papules, plaques, and nodules, followed by systemic symptoms6,7. Atypical morphological patterns, including bullous lesions, have been reported6,7,8,9. These variants can reassemble other dermatological conditions, making diagnosis a daunting task.
Herein, we report a case of a clinically atypical, long-standing single lesion in an immunocompetent patient, histopathologically classified as borderline tuberculoid (BT) leprosy. Conversely, the patient's reactional state shared no expected immunological patterns of this form of leprosy.
CASE REPORT
A 50-year-old otherwise healthy female from Recife, Pernambuco State, Brazil, was referred by a general practitioner (GP) to a dermatology outpatient clinic due to a single, asymptomatic, erythematous lesion on her left thigh, persisting for five years. The GP's primary diagnostic hypothesis was cutaneous sarcoidosis, as the patient denied contact with leprosy cases.
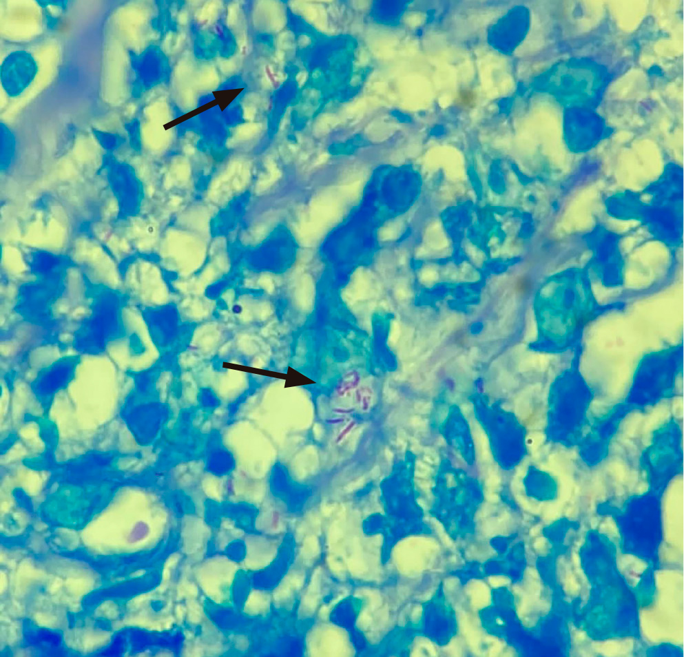
On examination, a well-defined, erythematous- infiltrated, tumid plaque measuring 1.0 cm in diameter was observed on the medial thigh (Figure 1). Thermal and tactile sensitivity were significantly reduced, but no systemic symptoms were present. A biopsy revealed aggregates of vacuolated histiocytes surrounded by lymphocytes along neurovascular bundles, extending through the papillary and reticular dermis. Slit-skin smear examination showed a bacterial index (BI) of +2, with few acid-fast bacilli (AFB) detected on Fite-Faraco staining (Figure 2). Routine biochemical panel did not detect leukocytosis or raised erythrocyte sedimentation rate (ESR), and antinuclear antibodies (ANA) were also negative. The patient was diagnosed with BT leprosy.

Photo: Marília de Moraes Delgado.
Figure 1 - Single, tumid, erythematous-infiltrated, well-defined plaque on the medial thigh region

Photo: Marília de Moraes Delgado.
Figure 2 - Fite stain showing solid-staining and fragmented AFB (black arrow) (AFB, fite stain, × 1,000)
Thirty days after the initial consultation, the patient complained of a sudden onset of fever, myalgia, joint stiffness, malaise, and the skin lesion had become tender and painful. Simultaneously, multiple hemorrhagic bullae appeared on her lower limbs (Figure 3). A biopsy of these new lesions revealed a superficial perivascular neutrophilic infiltrate with fibrinoid necrosis and leukocytoclasia (Figure 4), leading to a diagnosis of an atypical type 2 leprosy reaction.

Photo: Marília de Moraes Delgado.
Figure 3 - Multiple erythematous-violaceous papules and hemorrhagic bullae on the distal extremity of left leg

Photo: Marília de Moraes Delgado.
Figure 4 - Superficial perivascular neutrophilic infiltrate with fibrinoid necrosis and leukocytoclasia (yellow circle) (H&E, x 400)
Treatment was initiated with prednisolone 60 mg daily, with a stepped-down dose of 5 mg per week. Significant and sustained improvement in skin lesions was observed within three weeks. The patient was discharged after safe corticosteroid discontinuation and advised to consult a GP for initiation of anti-leprosy therapy.
DISCUSSION
Leprosy, a neglected tropical disease, remains associated with poverty, with approximately 200,000 new cases detected annually over the last decade1,2,3,4. Southeast Asia and the Americas reported the highest prevalence rates, with Brazil, India, and Indonesia accounting for nearly 80% of cases worldwide1,2,3,4. In Brazil, the incidence rate is 15.32 per 100,000 inhabitants, but the North and Northeast regions reported rates nearly twice the national average, with hyperendemic areas primarily in Pernambuco3. Socioeconomic disparities, unequal urbanization, and household crowding contribute to increased leprosy risk and poor disease control in the Brazilian scenario1,2,3,4.
According to the Ridley and Jopling classification, most cases fall within the borderline leprosy spectrum, which is subdivided into borderline tuberculoid (BT), borderline borderline (BB), and borderline lepromatous (BL) forms, depending on the patient's immune response. The hallmark of borderline leprosy is immune instability, which may cause untreated patients to shift toward the lepromatous pole over time as bacterial levels rise5,9. BT leprosy is typically characterized by a few scattered infiltrated plaques with asymmetric nerve thickening. Histopathological examination reveals epithelioid granulomas with a mix of macrophages and lymphocytes, while AFB staining often shows fragmented or sparse bacilli5,9.
T2R, an immunological complication primarily affecting BL groups, accounts for over a quarter of leprosy reactions in Brazilian referral centers10,11,12. Typical T2R presents as painful erythematous papules, plaques, or nodules, frequently among BL patients5,10,11,12. Nonetheless, atypical forms, such as pustular, hemorrhagic, and bullous variants, can turn into necrotic ulcers. Although several T2R patterns have been described, it remains a difficult diagnosis as there is a lack of reviews addressing atypical variants. Bullous eruptions are rarely observed in leprosy and might be associated with severe forms of ENL6. Moreover, vesiculobullous lesions are ENL's most common atypical clinical presentation form, with blisters varying from tense and flaccid to hemorrhagic7,8.
Histologically, T2R is marked by intense dermal and perivascular neutrophilic infiltration, especially during acute stages7,8,10,11. A dermal infiltrate of foamy histiocytes and epithelioid cells are also evident. Vascular changes are common, and it seems leukocytoclastic vasculitis is the major pathological event of early ENL cases10,11. There is limited data on the early histological features of ENL and its atypical variants8.
Biopsies from this patient showed no epithelioid histiocytes, indicating a lack of Th1 immune response and suggesting an abrupt immunological shift toward the lepromatous pole. The initial BT diagnosis appears unusual, given the quick progression to an unexpected type 2 reactional state without any clinical change in a previously chronic and stable lesion.
CONCLUSION
These findings reinforce the spectrum-like nature of leprosy rather than seemingly straightforward classifications. Dermatologists and public health professionals should consider the role of socioeconomic determinants in disease prevalence and recognize the importance of early histological features and clinicopathological correlations.













